What Is The Fastest Way To Recover From Ankle Surgery?
Share
People undergo ankle surgery for a variety of reasons and the goal can vary depending on what issue(s) a patient is suffering from.
In the case of ankles, surgery can be called upon to treat serious bone breakages, tendonitis, or persistent/chronic pain.
It’s worth noting that surgery is very rarely the first point of call for medical treatment and is usually chosen when other milder treatments have failed, or symptoms have worsened.
In patients with ankle osteoarthritis, for example, surgery for either a total ankle replacement or ankle fusion is only offered when other tools have been tried and unsuccessful for six months or more.
Similarly, surgery is only considered for those with bad fractures to help support unstable bones in the ankle and aid healing. Yet, in less serious breakages where bones remain in place and the ankle and connected foot are stable, surgery isn’t as necessary.
Different Types of Ankle Surgery
Just as there are different reasons for needing ankle surgery, there are different ways surgery can be completed to best support a patient’s recovery.
Check out the table below for the most common reasons for having ankle surgery (and the most appropriate form of surgery)...
| Type of surgery | Condition | Arthritis | Fracture | Instability | Dislocation | Tendinopathies |
| Ankle arthroscopy | X | X | X | ||
| Tendon surgery | X | X | X | ||
| Lateral ankle ligament reconstruction | X | ||||
| Ankle fracture surgery | X | ||||
| Ankle fusion/arthrodesis | X | ||||
| Ankle replacement | X |
From least intrusive to most intrusive…
- Ankle arthroscopy - A small camera is used to see into the ankle so surgeons can repair muscle tissue in/around the ankle area via only a few small incisions.
- Tendon surgery - This procedure entails making small incisions to selectively remove damaged tissues in an affected tendon. In some cases, whole tendons are removed and replaced with those taken from another part of the body.
- Lateral ankle ligament reconstruction - A cut is made around the outside of the ankle and small artificial anchors are inserted into the bone. The damaged ligaments are then reattached to the bone and tightened.
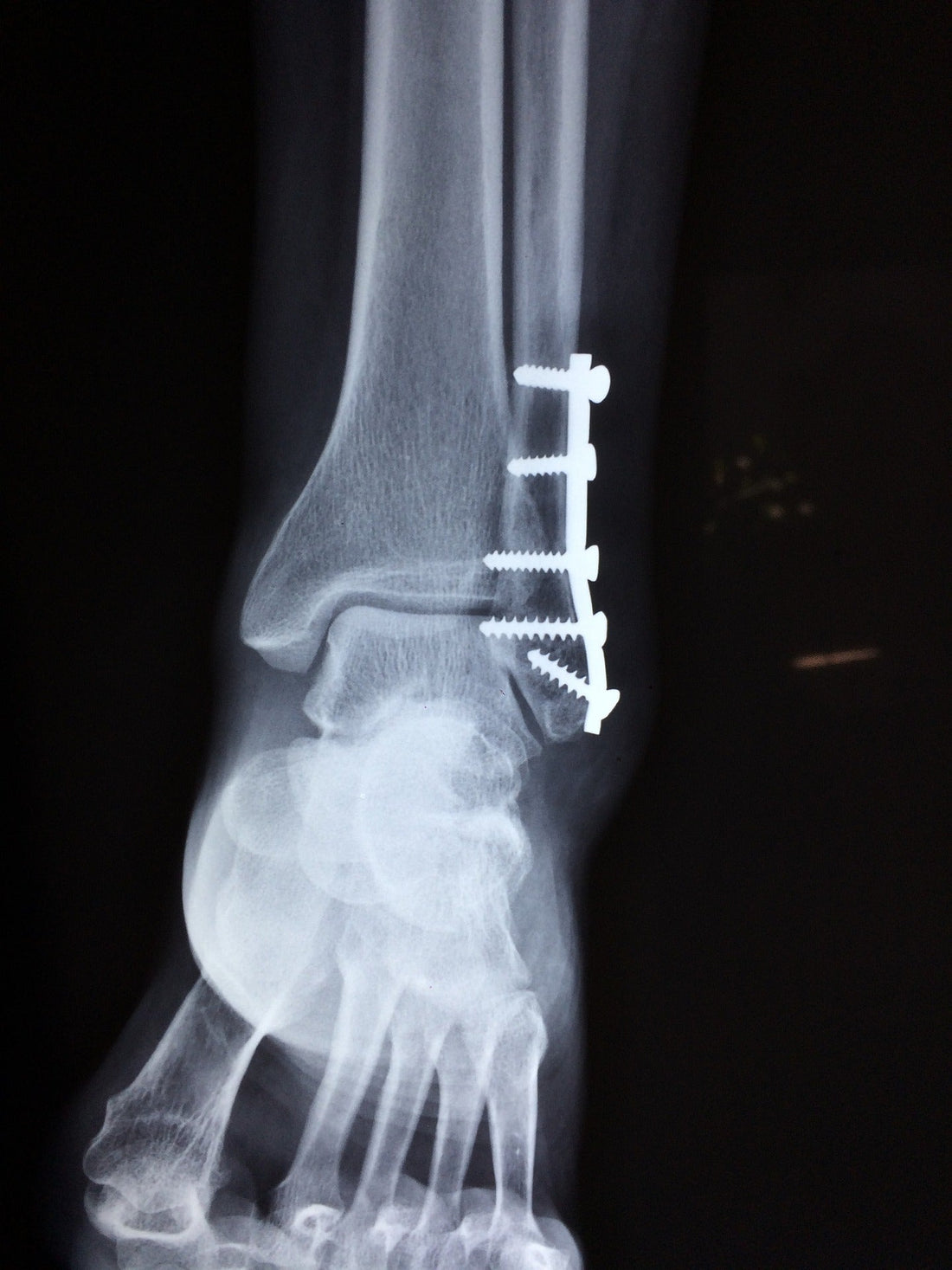
- Ankle fracture surgery - The broken bone fragments are moved back to the correct position inside the ankle and stabilizing items, such as screws and metal plates, are inserted to support correct healing.
- Ankle fusion/arthrodesis - Damaged tissue or cartilage is removed from the surface of the ankle and then the ankle is surgically fused back together using metal plates and screws.
- Ankle replacement - Damaged parts of the ankle (or the whole ankle joint) are removed and replaced with the prosthetic equivalent(s) - usually plastic or metal. Screws and surgical glue can be used to help secure everything together.
For all of these surgical procedures, you’re very likely to need either local or general anesthesia.
The Normal Ankle Surgery Recovery Process
Obviously, different kinds of ankle surgery require different recovery windows. The more intrusive and significant the surgery, the longer the recovery time frame.
Generally, it’s often said you’ll be back feeling yourself in six months to a year.
How long does it take?
There are several components to the healing process of ankle surgery. Time frames to consider are:
- After two-three months, broken bones should heal.
- After three-four months, swelling should go down and soft tissue should heal.
- After four months, patients can expect to return to active sports.
- After a year, patients should see a full recovery in their ankle health and strength.
Managing pain
Many people understandably experience ankle pain, heel pain, and general foot pain post-operation. You should expect to experience some form of pain or discomfort for up to 4 months post-procedure.
Several day-to-day actions can aggravate the pain:
- Standing for long periods, especially on hard surfaces
- Wearing footwear with a lack of foot support (both around and underneath the foot)
- Carrying excessive weight (both on your person and in your own body weight) increases stress on the joint
As well as this, pain can be alleviated (and sometimes altogether avoided) by:
- Taking basic pain relief medication
- Making sure to rest and sleep
- Eating healthily (including plenty of nutrient-rich foods - see below)
- Staying hydrated (see below)
- Elevating the ankle to reduce swelling
- Implementing additional techniques like red light therapy
Watching out for potential further issues
Ankle surgery is a major procedure and can sometimes lead to complications or other issues post-surgery. Some of these to watch out for include:
- Infection
- Bleeding and blood clots
- Damage to nerves and blood vessels
- Stiffness or weakness of joints
It’s also good to bear in mind the potential side effects of anesthesia: dizziness and nausea, headaches, bruising, soreness, feeling cold and shivering.
If you experience any of the above, consult professional medical advice as soon as possible.
Diabetic foot care post-surgery
People with diabetes are more likely to experience complications after ankle surgery. And those with diabetes are more likely to require re-operation (due to those complications) after the original procedure.
This is because diabetes can cause peripheral arterial disease (the blocking or narrowing of blood vessels in the legs). The limited blood circulation caused by this can lead to impaired healing and infection in the target area.
People with diabetes are also more prone to venous insufficiency (swelling in the feet and lower legs), which only furthers the swelling already likely after ankle surgery, so it should be monitored carefully.
Additionally, those with diabetes can experience nerve damage and, consequently, reduced sensation in their legs and feet. This means they might not feel pain as quickly or strongly, leading to delayed identification of any issues at the surgical site.
What to do following ankle surgery?
Ankles are vital to our balance and mobility. Because of the amount we rely on our ankles, it’s crucial to make an effort to adequately recover from ankle surgery and to take care as you return to normality.
It’s easy to get overexcited or complacent and rush your body into tasks and situations that it’s not yet ready for. Even things like gentle bumps or brushes against the floor can significantly set back recovery if not handled seriously.
If you’re asking: ‘what is the fastest way to recover from ankle surgery?’ we’ve got you covered with some tips and tricks to see mobility and strength come back into the ankle.
Rest
This refers to not just physical rest, elevation, and rehabilitation but resting your mind and whole body too.
After surgery, it’s important to sleep well and deeply. In fact, it’s recommended that you stay in bed completely for 1-2 days after undergoing major surgery. The process of sleeping reduces levels of cortisol (a stress hormone) and increases blood flow (which helps heal). So technically, the more you sleep, the quicker you may heal.
It’s important to adequately support the ankle as you become more active. This includes the use of mobility aids, such as crutches or a knee walker. Movement during this initial healing period should be slow, careful, and limited in length/frequency.
Mental rest is also a key part of recovery, so allow this time of limited mobility to take mindful rest, whether through watching TV, reading a book, listening to music, catching up with friends, or doing arts and crafts etc. This time is a great opportunity to take time out to do the things you enjoy.
Nutrition and hydration
It has been medically proven that undergoing surgery induces a biological stress response. This affects metabolism, which reduces the body’s immune response and ability to heal.
Eating nutrition-rich foods can help to combat this. Generally, it’s best to avoid processed foods and foods containing excess sugar. Fresh fruits and vegetables, lean protein (i.e. white meats, fish, dairy) and grains (rice, quinoa, etc) are good foods to focus on.
Not only this, hydration is also key in helping to ensure oxygen and nutrients can circulate around the body. Ideally, adults should aim to consume between 2,000ml and 3,000ml.
Physical therapy
After some time - depending on the level of injury and the extent of the surgery needed - you’ll be encouraged to begin using your ankle again in consultation with a physical therapist or other medical expert.
Alongside physiotherapy exercises, patients should gradually resume weight-bearing activities (i.e., putting weight on your ankles and practicing movements that use the full demands of their capabilities).
This will likely begin as a phased approach, increasing the duration and complexity of set exercises to protect healing tissues while rebuilding strength in the area.
Elevate the ankle
Keeping the ankle elevated is paramount for recovery, and whilst it’s typically recommended for a range of conditions and joint pain elsewhere on the body, it’s most vital for the ankle due to its natural low position.
Elevation will reduce swelling, enhance healing opportunities, and minimize discomfort in the days following the operation.
Red light therapy
With many ankle injuries, the main factors that need to be supported are damaged blood vessels, cartilage, inflammation, and joint pain.
Red light therapy (RLT) can help speed up the healing process and alleviate pain across all of these factors as it stimulates blood flow, improving the delivery of oxygen and nutrition to the area while also reducing oxidative stress and boosting tissue healing.
It supports the recovery of damaged blood vessels and cartilage by increasing cellular energy production, promoting collagen synthesis, and reducing inflammation in the affected tissues. In turn, this brings improved joint function and better comfort.
How does red light therapy help with ankle pain?
Light therapy is an innovative technology that stimulates cell regeneration in a targeted area to speed up the healing process. One such area where it’s been proven to help is in the ankle.
One of the major benefits of red light therapy is improved circulation. When the light is penetrated into the ankle, nitric oxide is stimulated. This helps to dilate blood vessels, widening them in the process. Then, when these vessels are expanded, circulation is increased, and more oxygen and nutrients are able to flow to the injured ankle.
This circulation is paramount for healing, meaning light therapy is the perfect kickstart for recovery.
Adenosine triphosphate (ATP) is boosted with RLT too. This acts as the energy currency of cells and allows for regeneration and the repair of damaged tissues to quicken.
How do you use red light therapy on your ankle?
Many RLT devices typically come in a wide panel format. While this is good for reaching larger surface areas, it doesn’t allow for specific care in the same way that Kineon’s MOVE+ Pro can.
The MOVE+ Pro is a safe, non-invasive, and portable device that can be strapped around the ankle for targeted relief. It has been developed following hundreds of successful clinical trials to ensure only the most effective wavelengths, dosage, and components are used.
To make the most out of our handy device, simply strap the device around your ankle and secure it in place. You’ll receive all the necessary guidelines along with your MOVE+ Pro delivery, and these will tell you which settings will be most beneficial for you.
How often can you use red light therapy?
Red light therapy isn’t laden with all the nasty side effects you’ll see with other pain treatments (looking at you pain relief medication!) so you can use the device as often as you please.
We recommend using the at-home device for 10-15 minutes per session, either every day or between three to five times a week, for optimum effect. Being consistent with RLT is when you’ll see the most results and feel the benefits.
Regular short sessions are better than one-off 45-minute treatments every few weeks.
How soon after ankle surgery can you start red light therapy?
The general ball-park figure is to wait 2-3 weeks after surgery before starting light therapy treatments. However, it’s best to speak with a medical professional about your specific situation, as they’ll be better equipped to provide tailored advice.
Can I use red light therapy on open wounds post-surgery?
Red light therapy can be used on dermal wounds but should be used with caution and with professional medical advice.
Though the light energy itself supports healing and collagen production, open wounds are more prone to infection, and disruption to that area should be kept to a minimum.
For more articles on, ankle, read: